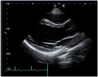
Adjustment of gain



Gain is used to adjust the sensitivity of the received echoes. Noise will appear in the entire image if the gain is too high. If the gain is too low, information will be missing from the image.
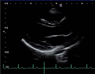
Adjustment of STC


STC, also known as TGC, is used to adjust to adjust the gain for depth-related attenuation in an image.
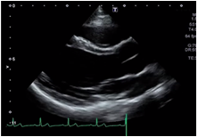
Adjustment of the observation depth


The observation depth is used to adjust the depth from the body surface to be displayed as an image on the monitor. When you observe the posterior part of the heart, for example, pleural effusion and descending thoracic aorta aneurysm, increase the observation depth (deeper). But increasing the depth may allow lower frame rates.
Adjustment of focus


Focus is the distance that provides the best resolution, usually set in the vicinity of the central part of the image. Set the focus point to match the part to be observed or the region of interest;in case you search for apical thrombus, set the focus point to the shallow part of the apical view.
