インパクト イメージング フォーラム Impact Imaging Forum
|
概要
第37回日本超音波検査学会において、インパクト イメージング フォーラム(Impact Imaging Forum; IIF)を開催いたします。最近の超音波装置の画像診断技術はすばらしい発展を遂げており、超音波検査は臨床現場での診断、治療において重要な役割を果たしています。
IIF では、あなたの自慢の一枚を募集します。診断・治療に必要な画像のクオリティや撮影および画像設定の工夫、さらに臨床的意義を総合的に判断した「私の最良のイメージング」を学会参加者全員の投票により選出します。
公示の時点では応募者名は公表いたしません。
受賞作品
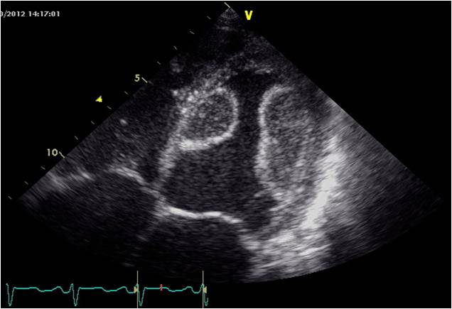
ベストインパクトイメージング賞
氏 名 : 永沼 晃和
所 属 : JA北海道厚生連 遠軽厚生病院
診断名: 『左室内血栓』
装 置 : GE Vivid 7, M4Sプローブ
対 象 : 60歳代男性
コメント: 大きな乳頭筋?いえいえ新鮮血栓です。観察中もプルプル揺れていて、
今にも中身が飛び出しそうでした! |

※本画像の無断転載・転用を禁じます。
|
インパクトイメージング賞
氏 名 : 丸山 憲一
所 属 : 東邦大学医療センター大森病院
診断名: 『腹膜偽粘液腫』
装 置 : 東芝AplioXG 3.5MHzコンベックスプローブ
対 象 : 30歳代男性
コメント:腹腔内に貯留する粘液の分布状態をイメージできるよう、横断面での連続像を
パノラミックビューにて表現。消化管は腹腔内に充満した粘液により圧排をうけており、
食思不振の原因と考えられた。 |

※本画像の無断転載・転用を禁じます。
|
JSS37 大会長賞
氏 名 : 中谷 穏
所 属 : 独立行政法人国立病院機構 水戸医療センター
診断名: 『血 腫』
装 置 : 東芝AplioXG 8.0MHzリニアプローブ
対 象 : 40歳代女性
コメント:突出している病変のため、プローブの両端が浮いてしまいがち。WATER BAGを用いることにより、
両端が浮かなくなり、良質な画像が得られる。腫瘤の深部にあるエコー輝度の高い層は、
体位変動により重力方向に移動した。血球成分の多い部分が反映されているもの判断した。 |

※本画像の無断転載・転用を禁じます。
|
|
|
|